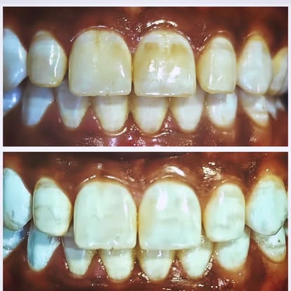
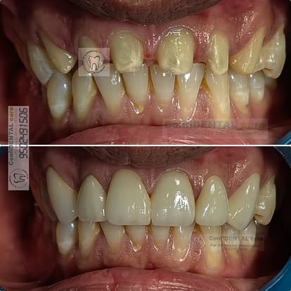
At ConfiDENTAL Care, we focus on delivering dental treatment that feels gentle, thoughtful, and well-guided at every step. Whether it’s a routine visit or a specialized procedure, our priority is to ensure patients feel relaxed, informed, and confident about their dental care decisions.
Our clinic is designed to comfortably serve children, adults, and seniors in a welcoming and supportive atmosphere. We emphasize clear communication, careful evaluation, and customized treatment planning using advanced dental tools and refined techniques. By combining preventive care with modern dentistry, ConfiDENTAL Care is committed to supporting strong oral health and natural, confident smiles at every stage of life.


























